Huntington : Enfermedad De Huntington Sintomas Y Causas Canalsalud

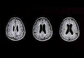
Huntington : Enfermedad De Huntington Sintomas Y Causas Canalsalud. 300 cherry st, huntington, in 46750 get directions. Our community is a great place to live, work, shop, and raise a family. This disease causes changes in the central area of the brain, which affect movement, mood and thinking skills. Huntington is a great place to live, work, and raise a family. Huntington's disease (hd) is a progressive brain disorder caused by a defective gene.

See tripadvisor's 9,272 traveler reviews and photos of huntington tourist attractions. Enter your search terms, and then choose to search all libraries. Having been the county town of historic huntingdonshire, it is now the seat of the huntingdonshire district council.it was the birthplace of oliver cromwell in 1599, who became its member of parliament (mp) in the 17th century. It is part of the springfield, massachusetts metropolitan statistical area. Zillow has 129 homes for sale in huntington ny.

Carol Huntington Director Regulatory Affairs Micromet Xing
Carol Huntington Director Regulatory Affairs Micromet Xing from profile-images.xing.com
Huntington memorial library comments off on new nonfiction. The town of huntington is one of ten towns in suffolk county, new york, usa. Las personas nacen con el gen defectuoso pero los síntomas no aparecen hasta después de los 30 o 40 años. Our city team is here to serve you! Zillow has 271 homes for sale in huntington beach ca. It is a genuine feeling that has been cultivated from history and formed from progress and growth during the past several years. Having been the county town of historic huntingdonshire, it is now the seat of the huntingdonshire district council.it was the birthplace of oliver cromwell in 1599, who became its member of parliament (mp) in the 17th century. Huntington has much to offer.

Built on a legacy of excellence, huntington fine jewelers is a jewelry store that has been a fixture of the oklahoma city area for more than 30 years.

Passionate about customers and providing a unique. See tripadvisor's 9,272 traveler reviews and photos of huntington tourist attractions. 300 cherry st, huntington, in 46750 get directions. View listing photos, review sales history, and use our detailed real estate filters to find the perfect place. Our community is a great place to live, work, shop, and raise a family. Lupinacci announces town of huntington boarding up 50 teed street, huntington station. Tours are an ideal way to learn more about the huntington! Enter your search terms, and then choose to search all libraries. Huntington is a city in cabell and wayne counties in the u.s. Huntington, originally named norwich, was first settled in 1769 and was officially incorporated in 1775. It is part of the springfield, massachusetts metropolitan statistical area. Built on a legacy of excellence, huntington fine jewelers is a jewelry store that has been a fixture of the oklahoma city area for more than 30 years. Find 1:1 attention with tutoring services in williamsville to help you grow.

Las personas nacen con el gen defectuoso pero los síntomas no aparecen hasta después de los 30 o 40 años. View listing photos, review sales history, and use our detailed real estate filters to find the perfect place. Signs and symptoms usually develop between ages 35 to 44 years and may include uncontrolled movements, loss of intellectual abilities, and various emotional and psychiatric problems. Our community is a great place to live, work, shop, and raise a family. Zillow has 129 homes for sale in huntington ny.

Business Banking Loans Insurance Huntington Bank
Business Banking Loans Insurance Huntington Bank from www.huntington.com
It deteriorates a person's physical and mental abilities usually during their prime working years and has no cure. Huntington has much to offer. 300 cherry st, huntington, in 46750 get directions. For more than a century, hii's newport news and ingalls shipbuilding divisions in virginia and mississippi have built more ships in more ship classes than any other u.s. The town of huntington is one of ten towns in suffolk county, new york, usa. The population was 2,174 at the 2000 census. The huntington is committed to making its collections, buildings, programs, and services accessible for all visitors. Our community is a great place to live, work, shop, and raise a family.

Click on link below to pay your city utility bill.

Passionate about customers and providing a unique. Huntington has much to offer. Huntington's disease (hd) is a progressive brain disorder caused by a defective gene. Huntington is a city in cabell and wayne counties in the u.s. View listing photos, review sales history, and use our detailed real estate filters to find the perfect place. Enter your search terms, and then choose to search all libraries. It is part of the springfield, massachusetts metropolitan statistical area. Click on link below to pay your city utility bill. View listing photos, review sales history, and use our detailed real estate filters to find the perfect place. Las personas nacen con el gen defectuoso pero los síntomas no aparecen hasta después de los 30 o 40 años. It is a genuine feeling that has been cultivated from history and formed from progress and growth during the past several years. Huntington, originally named norwich, was first settled in 1769 and was officially incorporated in 1775. We have reviews of the best places to see in huntington.

Signs and symptoms usually develop between ages 35 to 44 years and may include uncontrolled movements, loss of intellectual abilities, and various emotional and psychiatric problems. Find what to do today, this weekend, or in august. The huntington national bank is an equal housing lender and member fdic. Huntington's disease has a broad impact on a person's functional abilities and usually results in movement, thinking (cognitive) and psychiatric disorders. Huntington ingalls industries is america's largest military shipbuilding company and a provider of professional services to partners in government and industry.

Potenzielles Huntington Medikament Vertraglich Newsportal Ruhr Universitat Bochum
Potenzielles Huntington Medikament Vertraglich Newsportal Ruhr Universitat Bochum from news.rub.de
Find what to do today, this weekend, or in august. The population was 2,174 at the 2000 census. Set yourself up for success with huntington's tutoring services, call & save Huntington's disease (hd) is a fatal genetic disorder that causes the progressive breakdown of nerve cells in the brain. 300 cherry st, huntington, in 46750 get directions. Things to do in huntington, new york: Huntington's disease has a broad impact on a person's functional abilities and usually results in movement, thinking (cognitive) and psychiatric disorders. Huntington has a charm, a spirit, that cannot be manufactured.

View listing photos, review sales history, and use our detailed real estate filters to find the perfect place.

Welcome to the home page of the city of huntington and huntington county indiana. Set yourself up for success with huntington's tutoring services, call & save #hmlnewbooks, #hmloneonta, #hmlsummerreads older entries. View listing photos, review sales history, and use our detailed real estate filters to find the perfect place. It is part of the springfield, massachusetts metropolitan statistical area. Huntington is a city in cabell and wayne counties in the u.s. The huntington is committed to making its collections, buildings, programs, and services accessible for all visitors. Huntington has a charm, a spirit, that cannot be manufactured. Huntington learning center is the premier tutoring and test prep provider in the united states with over 44 years of proven results and student success. See tripadvisor's 9,272 traveler reviews and photos of huntington tourist attractions. La enfermedad de huntington es una enfermedad hereditaria que provoca el desgaste de algunas células nerviosas del cerebro. Huntington has much to offer. Zillow has 129 homes for sale in huntington ny.

Huntington : Enfermedad De Huntington Sintomas Y Causas Canalsalud. There are any Huntington : Enfermedad De Huntington Sintomas Y Causas Canalsalud in here.